ダイレクトボンディング

ダイレクトボンディング

ダイレクトボンディングは、次世代のハイブリット樹脂で歯の形態を修復し、象牙質やエナメル質の代わりをつくっていく技術です。

保険で使用するコンポジットレジンよりも、審美性や耐久性に優れており、その日の内に施術が完了して、自然な美しい歯を手に入れることが出来ます。
ダイレクトボンディングは、ラミネートベニアやオールセラミックスクラウンのような型取りはなく、1回の治療で終了できます。

このような方におすすめです

欠けた歯を1回の来院できれいに修復したい

以前から入っている樹脂の詰め物の色や形が気になるので、もっと審美性や耐久性のあるものに入れ替えたい

ホワイトニングで改善できない歯の変色を1回で治したい

ダイレクトボンディングの特徴

利点

*歯を削る量が少なくて済む。

*1回で、多くても2回で治療が終わる。

*硬すぎないため、周囲の歯を痛めにくい。

*欠けたり割れたりした場合でも、修理が比較的簡単。

*他のセラミック治療と比べると安価。

注意点

*将来的には変色する可能性がある。

*噛み合わせが強い場合などでは、欠けたり割れたりすることがある。

※これは周囲の歯にとっては良いことなので、「欠けてくれる」と表現されることもあります。

料金

自由診療となります。

症例写真

歯が折れた。やり直しケース

ダイレクトボンディング

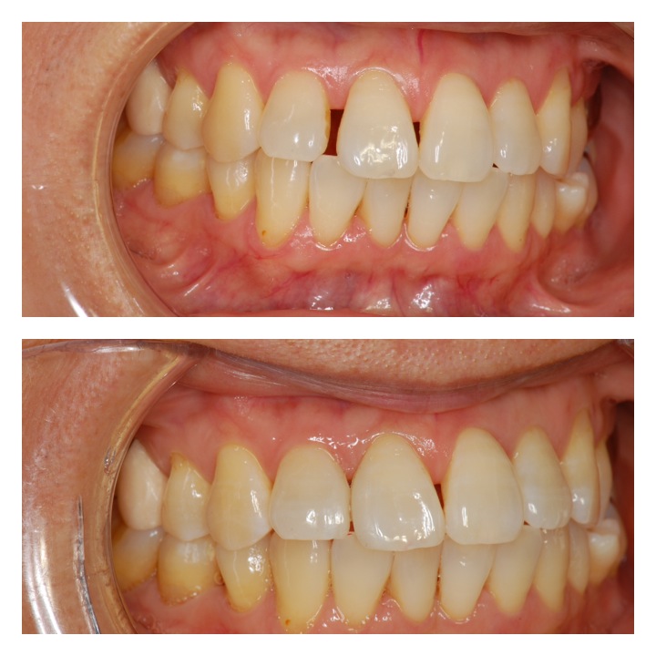
歯の移動により隙間が空いてきたケース

ダイレクトボンディング

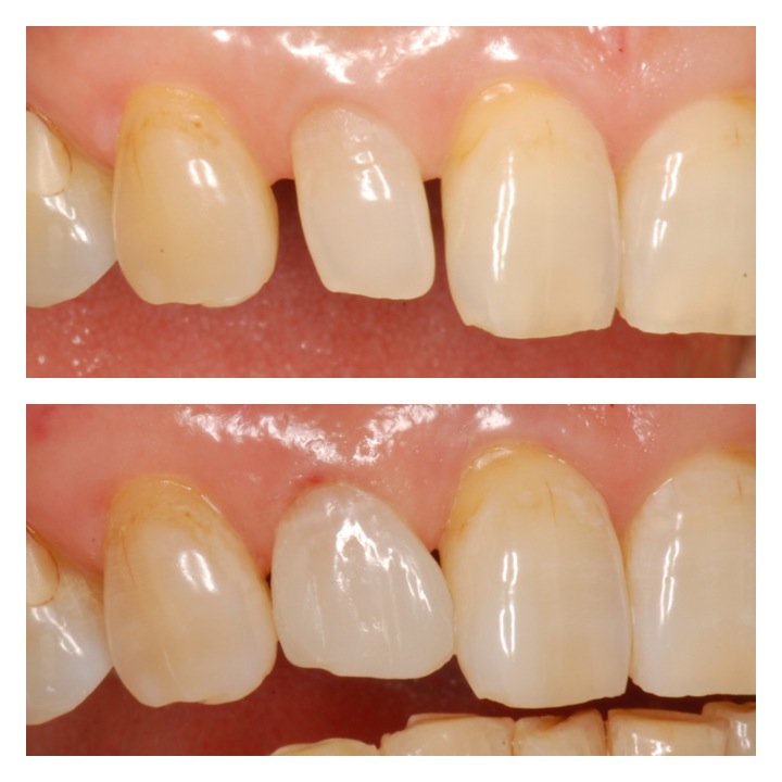
歯が小さく隙間があるケース

ダイレクトボンディング1

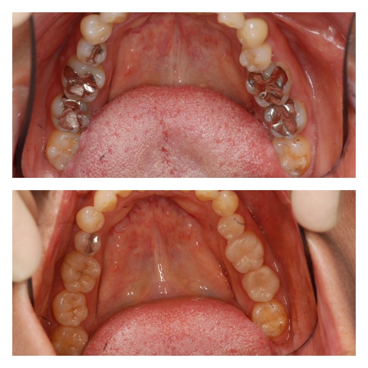
銀歯のやり直し

ダイレクトボンディング2

銀歯のやり直し ケース2

ダイレクトボンディング

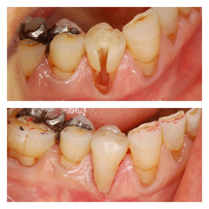
神経を取った虫歯

ダイレクトボンディング3

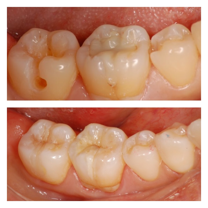
奥歯虫歯(銀歯にしない治療)

ダイレクトボンディング4

大規模治療すべての歯をダイレクトボンド治療

ダイレクトボンディング5