ホワイトニング
白く輝く美しい歯は、美と健康のシンボルです
ホワイトニングとは、歯の黄ばみやくすみといった歯の色合いに関する問題を解決する一手段です。誰にでも起こる問題ですが、お肌の問題よりも気になさる方は少ないのかもしれませんネ。貴方の歯は本当はもっと美しい色だったのです!
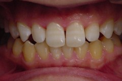
症例写真
- 術前

始める前。虫歯も何も無いけど生まれつき色が黄色っぽいというのがお悩みの方です
- 術中

上だけホワイトニングした状態です。色の違いが良くお分かりいただけると思います
- 術後

上も下も白くきれいになりました
ホワイトニングのリスク・避けた方が良い方
・詰め物や被せ物が多い方
詰め物や被せ物が多い方は、自分の歯との色の差が目立つようになってしまうことがあります。その部分も色を揃えるという選択肢もありますが、時間も費用もかかります。
・人工の歯の方(入れ歯、差し歯)
ホワイトニングは自分の歯であることが前提ですので、入れ歯、差し歯などの人工の歯を白くすることはできません。
ホワイトニング後に差し歯を入れるほうがよいでしょう。
・歯にヒビがある方
ホワイトニング剤の強い刺激がヒビから入り、歯がダメージを受ける可能性がありますので、避けるようにして下さい。
・歯の神経を抜いてしまった方、死んでしまっている方
ホワイトニングは、神経が生きている歯に対して行う方法です。神経を抜いてしまった方や死んでしまっている方の場合はできません。
・変色の強い方(抗生物質の影響)
抗生物質の影響で歯の変色が強い方は、ホワイトニングの作用が出にくいと言われています。
ホワイトニングを行ってはいけない方
・無カタラーゼ症の方
ホワイトニング剤に含まれる過酸化水素を分解する酵素がない、無カタラーゼ症の方がいらっしゃいます。万が一体内に取り込まれると、分解されずに残留してしまい、進行性口腔壊死などの重い病気になる可能性がありますので、絶対に行ってはいけません。
・妊娠中、授乳中の方
妊娠中や授乳中の方は避けていただいたほうがよいでしょう。
