歯茎が下がって、冷たいものが歯にしみる!

男女を問わず在宅ワークの方が増え、以前なら勤務先や通勤途中で歯科治療のための通院をしてきた方の来院が多くなりました。来院時には比較的時間に余裕があるせいか、色々お悩みなどお話がきけ、普段とはちょっと違う系統の処置をする事が出てきました。「犬歯の歯茎が痩せてきて歯が長く見えるようになってきてしまった。冷たいものがしみる」という事でした。
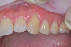
歯肉移植にて露出歯根面の被覆により対応しました。小手術を行う抜本的な解決法で歯肉退縮を改善できました。

 

歯肉退縮手術前

歯肉退縮手術後



コメントを残す

メールアドレスが公開されることはありません。 が付いている欄は必須項目です